Main container

Patologia Femoro-Rotulea e suoi trattamenti

L’instabilità della rotula rappresenta una sfida significativa per molti, limitando la mobilità e causando dolore. In questa pagina ne esploreremo le cause, i sintomi, i fattori di rischio, nonché le opzioni di trattamento disponibili, con un focus particolare sulle procedure di stabilizzazione della rotula e sull’importanza dell’intervento chirurgico.

Introduzione ai concetti di instabilità e stabilizzazione della rotula

La rotula è un osso di forma rotondeggiante, inserito all’interno dell’apparato estensore del ginocchio. È l’elemento di collegamento tra muscolo quadricipite e tibia, ricevendo al suo polo superiore le fibre che convergono dal quadricipite e al suo polo inferiore il tendine rotuleo. [1]

Parlando di instabilità della rotula, ci si riferisce a una condizione in cui la rotula non segue il suo percorso normale all’interno della traccia femorale durante il movimento del ginocchio. Questa problematica può derivare da lesioni acute – come quelle causate da impatti diretti – o da condizioni croniche legate all’allentamento dei legamenti che supportano la rotula.

Tra i sintomi più comuni troviamo il dolore acuto, il gonfiore e una sensazione di instabilità o di “scatto” della rotula. Clinicamente il paziente affetto da instabilità/lussazione recidivante di rotula riferisce dolore nella porzione anteriore del ginocchio, sensazione di instabilità e blocchi/scrosci articolari. [1]

Il trattamento in base alle caratteristiche di ogni singolo caso, potrà essere conservativo o chirurgico. In caso di lussazioni recidivanti o di lesioni associate sarà necessario un approccio chirurgico.

Fattori di rischio per l'instabilità della rotula

L’esposizione a certe attività fisiche, in particolare quelle che implicano salti o movimenti bruschi di direzione, può incrementare il rischio di instabilità della rotula. Anche alcune condizioni mediche che alterano la struttura o la resistenza del ginocchio possono predisporre a questo disturbo.

È fondamentale un’accurata diagnosi dell’instabilità della rotula, basata su un esame fisico dettagliato e, se necessario, su tecniche di imaging come la risonanza magnetica.

Prevenzione dell'instabilità della rotula

Per prevenire l’instabilità della rotula, si possono adottare diverse strategie, tra cui esercizi per il rinforzo muscolare e l’uso di ginocchiere stabilizzanti durante attività ad alto rischio. Anche mantenere un peso corporeo sano e adottare tecniche di movimento appropriate rappresentano misure efficaci per ridurre il rischio.

Chirurgia per la stabilizzazione della rotula

Nei casi in cui le terapie conservative non riescono a controllare l’instabilità della rotula, può essere presa in considerazione la chirurgia. Le opzioni chirurgiche per la stabilizzazione della rotula variano a seconda delle cause specifiche dell’instabilità, e possono includere, la riparazione, il rinforzo dei legamenti danneggiati, il riallineamento della rotula e la trocleoplastica.

Lussazione della rotula

Per lussazione della rotula si intende la perdita di contiguità dei capi articolari tra la rotula e la parte distale del femore, che insieme costituiscono l’articolazione femoro-rotulea. La tendenza alla lussazione viene contrastata dalle strutture ossee e dai tessuti molli del ginocchio quali il condilo femorale laterale, il muscolo vasto mediale obliquo e le varie strutture legamentose mediali (soprattutto dal Legamento Patello-Femorale Mediale). Qualora una di queste strutture risultasse indebolita o lesionata si potrebbe andare incontro a lussazione. [2]

Clinicamente il paziente affetto da instabilità/lussazione recidivante di rotula riferisce dolore nella porzione anteriore del ginocchio, sensazione di instabilità e blocchi/scrosci articolari. [1]

Intervento di stabilizzazione della rotula

Il trattamento in base alle caratteristiche di ogni singolo caso, potrà essere conservativo o chirurgico. In caso di lussazioni recidivanti o di lesioni associate sarà necessario un approccio chirurgico.

Esistono diversi tipi di intervento che possono essere combinati tra loro:

1.    Trasposizione della tuberosità tibiale anteriore (TTA) per riallineare l’apparato estensore del ginocchio (Fig.1); [3]
2.    Ricostruzione del Legamento Patello-Tibiale Mediale (MPTL) (Fig. 2); [4]
3.    Plastiche di ritensionamento del tendine del Vasto Mediale Obliquo (VMO);
4.    Ricostruzione del Legamento Patello-Femorale Mediale (MPFL), che rappresenta il principale stabilizzatore della rotula (Fig. 3); [5-7]
5.    Trocleoplastica (Fig. 4). [8]

Figura 1, figura 2 e figura 3.
Fig. 1 - Trasposizione della Tuberosità Tibiale Anteriore (TTA)
Fig. 2 - Ricostruzione del Legamento Patello-Tibiale Mediale (MTPL) con terzo medio tendine rotuleo [vedi bibliografia n.4]
Fig. 3 - Ricostruzione del Legamento Patello-Femorale Mediale (MPFL) con fascia lata allograft [vedi bibliografia n.6]
Fig. 4 - Trocleoplastica
Fig. 4 - Trocleoplastica

Fondamentale è uno studio approfondito delle alterazioni anatomo-patologiche mediante Radiografie, Tomografia Computerizzata con studio dei “parametri Lionesi” e Risonanza magnetica bilaterale del ginocchio, prima di scegliere il tipo o la combinazione di interventi chirurgici da effettuare. Infatti, tutti questi interventi, possono essere associati tra di loro per trattare le alterazioni patologiche dell’articolazione femoro rotulea. Il risultato è la cosiddetta “Chirurgie à la carte”, un approccio personalizzato per ottenere il miglior risultato possibile con la minor invasività per il paziente.

Indicazioni per l'intervento di stabilizzazione della rotula: come si svolge

L’intervento di stabilizzazione della rotula si rende necessario per pazienti che non rispondono ai trattamenti conservativi o che hanno subito ripetute lussazioni. La fase di recupero e riabilitazione post-operatoria è cruciale per il successo dell’intervento, richiedendo un impegno costante in un programma di riabilitazione mirato al rafforzamento del ginocchio e alla prevenzione di future instabilità.

Attualmente la tecnica più usata per la stabilizzazione della rotula è la ricostruzione del MPFL. Abbiamo sviluppato presso l’IRCCS Istituto Ortopedico Rizzoli di Bologna un tecnica mini-invasiva, quasi totalmente in artroscopia, che prevede la ricostruzione del MPFL utilizzando una Fascia Lata Allograft (cioè un tessuto da donatore) in modo tale da ristabilire la normale anatomia e funzionalità della rotula senza prelevare tessuti dal paziente (Fig. 3). [5,6]

La protesi femoro-rotulea: quando e perché

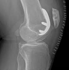
La protesi di femoro-rotulea (Fig. 5) è una protesi mono-compartimentale che riveste la parte alta dell’articolazione del ginocchio quando le sue superfici cartilaginee si sono rovinate irrimediabilmente.

Fig. 5 - Controllo radiografico post-operatorio di una protesi femoro-rotulea
Fig. 5 - Controllo radiografico post-operatorio di una protesi femoro-rotulea (la superficie di rivestimento della rotula è di polietilene e non è visibile dalla radiografia)

I pazienti nei quali è indicato un impianto di questo tipo sono soprattutto i soggetti che soffrivano in passato di instabilità e/o displasia femoro-rotulea e che sono andati incontro con il passare del tempo allo sviluppo di artrosi secondaria a carico di questo compartimento del ginocchio.

Attualmente i risultati di questo tipo di protesi, grazie anche all’introduzione di tecnologie innovative come la chirurgia rotbotica mini-invasiva (attualmente in uso corrente presso la Clinica Ortopedica e Traumatologica II dell’Istituto Ortopedico Rizzoli), sono buoni nel 79% dei casi a 10 anni di follow-up.

Perché rivolgersi ad un centro di riferimento se si hanno problemi di articolazione femoro-rotulea?

Come argomentato, affrontare l’instabilità della rotula e la sua degenerazione richiede un approccio combinato di trattamenti conservativi e, se necessario, chirurgici. Questo tipo di chirurgia non è appannaggio di tutti i chirurghi ortopedici che si occupano del ginocchio, ma richiede una formazione particolare sulla patologia e sulle diverse tecniche chirurgiche. La Clinica Ortopedica e Traumatologica II (precedentemente IX Divisione di Traumatologia dello Sport) ha una lunga storia e tradizione sul trattamento di questa patologia (iniziata con il Prof. Marcacci e continuata dal Prof. Zaffagnini, il quale ha pubblicato numerosi libri super-specialistici a diffusione internazionale sull’argomento) tanto da essere identificata come uno dei centri di riferimento nazionali in Italia per questo tipo di chirurgia. [10,11] Seguire le indicazioni mediche e dedicarsi a un programma di riabilitazione personalizzato sono passaggi chiave per il recupero e la prevenzione di ulteriori problemi.

Bibliografia

  1. The patellofemoral joint: from dysplasia to dislocation. Zaffagnini S, Grassi A, Zocco G, Rosa MA, Signorelli C, Marcheggiani Muccioli GM. EFORT Open Rev. 2017 May;2:204-14.
  2. Patellofemoral anatomy and biomechanics: current concepts. Zaffagnini S, Dejour D, Grassi A, Bonanzinga T, Marcheggiani Muccioli GM, et al. Joints. 2013 Oct;1(2):15-20.
  3. Treatment of chronic patellar dislocation with a modified Elmslie-Trillat procedure. M Marcacci, S Zaffagnini, M Lo Presti, A Vascellari, F Iacono, A Russo. Orthop Trauma Surg. 2004 May;124(4):250-7.
  4. Medial patellotibial ligament (MPTL) reconstruction for patellar instability. Zaffagnini S, Grassi A, Marcheggiani Muccioli GM, et al. Knee Surg Sports Traumatol Arthrosc. 2014 Oct;22(10):2491-8.
  5. Effect of Medial Patellofemoral Ligament Reconstruction Method on Patellofemoral Contact Pressures and Kinematics. Stephen JM, Kittl C, Williams A, Zaffagnini S, Marcheggiani Muccioli GM, et al. Am J Sports Med. 2016 May;44(5):1186-94.
  6. Minimally invasive medial patellofemoral ligament reconstruction with fascia lata allograft: surgical technique. Zaffagnini S, Marcheggiani Muccioli GM, Grassi A, et al. Knee Surg Sports Traumatol Arthrosc. 2014 Oct;22(10):2426-30.
  7. Good results are reported at 60-month follow-up after medial patello-femoral ligament reconstruction with fascia lata allograft for recurrent patellar dislocation. Marcheggiani Muccioli GM, Lullini G, Zaffagnini S, et al. Knee Surg Sports Traumatol Arthrosc. 2020 Jul 10. doi: 10.1007/s00167-020-06142-x.
  8. Recurrent patellar dislocations: trochleoplasty improves the results of medial patellofemoral ligament surgery only in severe trochlear dysplasia. Zaffagnini S, Previtali D, et al. Knee Surg Sports Traumatol Arthrosc. 2019 Nov;27(11):3599-3613.
  9. Almost 79% survival rate at 10-year follow-up for the patellofemoral joint arthroplasty: An Italian prosthetic registry study. Pagano A, Zaffagnini S, et al. Knee Surg Sports Traumatol Arthrosc. 2024 Jun;32(6):1525-1530.
  10. Patellofemoral Pain, Instability, and Arthritis. Clinical Presentation, Imaging, and Treatment. Zaffagnini S, Dejour D, Arendt EA, Eds. Springer Nature, 2010.
  11. Patellofemoral Pain, Instability, and Arthritis. Clinical Presentation, Imaging, and Treatment. Dejour D, Zaffagnini S, Arendt EA, Eds. Springer Nature, 2020.


Autori: Prof. Stefano Zaffagnini, Prof. Giulio Maria Marcheggiani Muccioli, Prof. Alberto Grassi, Dr.ssa Maria Pia Neri, Dr. Mirco Lo Presti, Dr. Alessandro Russo, Dr. Alessandro Di Martino, Dr. Federico Raggi, Dr. Enrico Tassinari, Dr. Luca Andriolo, Dr, Massimi Simone, Dr. Gianandrea Lucidi, Dr. Domenico Alesi, Dr. Vito Gaetano Rinaldi, struttura complessa Clinica Ortopedica e Traumatologica II, Istituto Ortopedico Rizzoli.
Scheda informativa revisionata il 30 luglio 2025.
 

 

Contatti

Qui ci occupiamo di cura